Movimientos de nuestra mandíbula y problemas que se pueden generar

La mandíbula es a lo que nos referimos como el conjunto de huesos que sostiene cada una de tus piezas dentales. Es un hueso móvil, ya que de lo contrario no podríamos masticar, hablar… y, por ello, es capaz de realizar múltiples movimientos en prácticamente todas las direcciones del espacio. La mandíbula se une al resto de huesos […]
¿Sabes cuáles son las consecuencias de una caries sin tratar?

Cada día, los agentes agresivos atacan tu boca y tus dientes. Desde alimentos muy ácidos o, por el contrario, muy básicos a bebidas azucaradas, la acción de la saliva, la falta de cepillado… Todos estos factores suman a la hora de favorecer el crecimiento de bacterias dañinas para tu boca y sus componentes. Con el tiempo, acaban generando una placa […]
¿Sabes cómo usar el hilo dental de forma correcta? Te lo explicamos

El cuidado de tu boca debe ser minucioso, por eso los especialistas en salud bucodental recomiendan utilizar diariamente hilo dental. Su uso te permite mantener una mayor limpieza donde el cepillo de dientes no llega. Pero es necesario saber aplicarlo correctamente para lograr un máximo beneficio. Los beneficios del uso del hilo dental Cuando te limpias los […]
Pérdida de diente por un traumatismo, ¿qué hay que hacer?

Cuando se produce la pérdida de un diente por un accidente o traumatismo, hay que correr a llamar al odontólogo. En el caso de los bebéos o niños pequeños, no se suelen reimplantar. Pero cuando se trata de niños mayores o adultos, existen algunos casos en los que es posible reimplantarlos. Si, tras caerse, es […]
Llevo prótesis dental, ¿cómo debo cuidarla?

La prótesis dental removible, las que hemos conocido toda la vida como dentadura postiza, supone una estupenda solución para mejorar la funcionalidad y estética de la boca. Pero para un mantenimiento óptimo y que duren en el mejor de los estados, requieren unos cuidados, que no son complicados de llevar a término, pero sí hay […]
De qué hablamos cuando en odontología decimos maloclusión

Al margen de su perjuicio estético, la maloclusión es un trastorno más común de lo que crees. Por suerte, detectarla temprano facilita el buen curso del tratamiento y esquiva las complicaciones. Si te interesa saber más sobre los factores de riesgo o las soluciones odontológicas para la malposición dentaria, estás en el lugar adecuado. Por […]
Cinco respuestas a las preguntas habituales sobre prótesis dentales

Las prótesis dentales pueden ser la mejor solución para suplir la carencia de una o varias piezas dentales. Dado que los dientes son extremadamente importantes en nuestra vida (ya sea por su utilidad práctica como por cuestiones de estética dental), es importante conocer una serie de aspectos clave acerca de las prótesis. Dudas frecuentes sobre […]
Amenazas a evitar si quieres que tu hijo no venga al dentista con miedo

La salud bucodental de los niños es muy importante. Desde que son pequeños, has de conseguir que mantengan una buena higiene dental, desarrollen adecuadamente cada uno de sus dientes y tomen conciencia de que deben cuidar su dentadura para la prevención de caries o, incluso, enfermedades bucodentales como la gingivitis, los traumatismos dentales o la maloclusión. Para conseguir esto, existe la odontopediatría, que […]
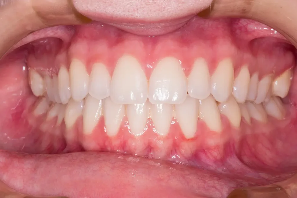
Tengo los dientes apiñados, ¿la ortodoncia me lo puede corregir incluso en la edad adulta?

¿Tienes los dientes apiñados y a menudo te has preguntado si tendrá solución? La respuesta inmediata es que sí se puede corregir los dientes apiñados en la edad adulta. Te explicamos las claves sobre este tema. Los dientes apiñados se pueden corregir en la edad adulta En las últimas décadas los tratamientos de ortodoncia ha cambiado […]
La importancia de tener todas las piezas dentales

Mantener una dentadura completamente sana es fundamental. Por dentro y por fuera, es necesario el cuidado de la misma para evitar las dificultades que provoca la pérdida de dientes, ocasionando dificultades importantes en nuestra salud bucodental. La solución de cualquier problema comienza por tomar conciencia del mismo. En el caso de pérdida de piezas dentales, […]